Cosmetic bonding is a dental procedure that has gained popularity for its ability to transform smiles seamlessly. Whether you’re looking to fix a chipped tooth, close gaps between teeth, or mask discoloration, cosmetic bonding offers a versatile solution. In this comprehensive guide, we delve into the details of cosmetic bonding procedures, exploring what they entail, their benefits, and what to expect during and after the treatment.
Understanding Cosmetic Bonding
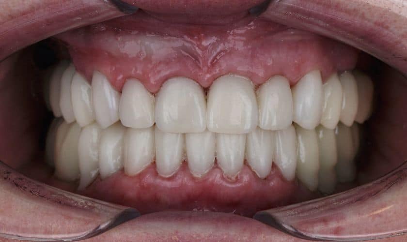
Cosmetic bonding, also known as dental bonding or composite bonding, is a procedure where a tooth-colored resin material is applied and bonded to the teeth using a special light. This material is carefully sculpted and shaped to improve the appearance of the teeth, addressing various imperfections.
The Procedure Process
The cosmetic bonding procedure typically starts with a consultation with a dentist to assess your dental needs and discuss your goals. Once the treatment plan is established, the actual bonding process begins. Here’s what you can expect:
During the procedure, the dentist will first prepare the tooth surface by roughening it and applying a conditioning liquid. This helps the bonding material adhere properly to the tooth.
Next, the dentist will apply the tooth-colored resin onto the tooth and mold it into the desired shape. The resin is soft and pliable, allowing the dentist to sculpt it to match the natural contours of the tooth.
Once the resin is shaped to perfection, a special light is used to harden and bond the material to the tooth surface. This process ensures durability and longevity.
After the bonding material is set, the dentist will further refine and polish it to achieve a smooth and natural-looking finish. This step helps seamlessly blend the bonded tooth with the rest of the smile.
Benefits of Cosmetic Bonding
Cosmetic bonding offers numerous benefits, making it a popular choice for enhancing smiles:
- Versatility: Cosmetic bonding can address various dental imperfections, including chips, cracks, gaps, and discoloration, providing a versatile solution for smile enhancement.
- Conservative: Unlike some other dental procedures, such as crowns or veneers, cosmetic bonding typically requires minimal alteration of the natural tooth structure, preserving more of the tooth’s integrity.
- Quick and Painless: The bonding process is relatively quick and painless, often completed in a single visit to the dentist’s office without the need for anesthesia.
- Natural Appearance: The tooth-colored resin used in cosmetic bonding closely resembles natural tooth enamel, resulting in a seamless and aesthetically pleasing appearance.
- Durable: Although not as durable as materials like porcelain, properly cared-for bonded teeth can last several years before requiring touch-ups or replacements.
Aftercare and Maintenance
After undergoing a cosmetic bonding procedure, it’s essential to follow proper aftercare and maintenance to ensure long-lasting results:
- Practice good oral hygiene by brushing and flossing regularly to prevent staining and decay.
- Avoid biting or chewing on hard objects, such as ice or pens, to prevent damage to the bonded teeth.
- Schedule regular dental check-ups and cleanings to monitor the condition of the bonded teeth and address any issues promptly.
By following these guidelines and maintaining a healthy oral hygiene routine, you can extend the lifespan of your bonded teeth and enjoy a beautiful smile for years to come.
Cosmetic bonding procedures offer a convenient and effective way to enhance smiles by addressing various dental imperfections. Whether you’re dealing with chipped teeth, gaps, or discoloration, bonding can provide a seamless solution that restores confidence and improves self-esteem. With its versatility, minimal invasiveness, and natural appearance, cosmetic bonding continues to be a popular choice among patients seeking smile transformations. If you’re considering cosmetic bonding, consult with a qualified dentist to discuss your options and achieve the smile of your dreams.
