386 N Redwood Rd, North Salt Lake, UT 84054

Tooth-Abscess-Emergency-Dentistry-North-Salt-Lake-Dental

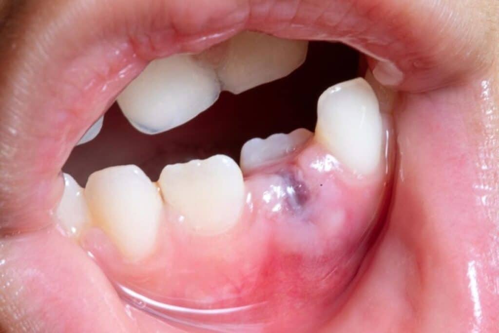
Tooth Abscess: Understanding This Common Dental Emergency

A tooth abscess is a painful and often urgent dental condition that requires immediate attention. It can lead to severe complications if left untreated, making it one of the most common reasons people seek emergency dental care. At North Salt Lake Dental, we want to help you understand the causes, symptoms, and treatment options for a tooth abscess so that you know when it’s time to see an emergency dentist in North Salt Lake.

What Is a Tooth Abscess?

An abscess of the tooth is defined as a pocket of pus that forms in or around the root of the tooth because of bacterial infection. It mostly comes about when infections resulting from cavities, cracks, and other dental caries penetrate into the tooth. This infection has the potential to spread to the jawbone and surrounding tissues if left untreated. There are two main types of abscesses:

  • Periapical Abscess: This type of abscess occurs at the tip of the tooth root and is often the result of untreated cavities or trauma to the tooth.
  • Periodontal Abscess: This kind, which is frequently brought on by advanced gum disease, develops in the gums next to a tooth root.

Symptoms of a Tooth Abscess

Recognizing the signs of a tooth abscess is crucial for seeking timely treatment. Some common symptoms include:

1. Severe, Persistent Tooth Pain

The most obvious sign of an abscess is intense, throbbing tooth pain that doesn’t go away. The pain may radiate to the jaw, neck, or even the ear on the same side as the affected tooth.

2. Swelling and Redness

Abscesses often cause swelling in the face, cheeks, or gums. The gums may appear red and swollen around the infected tooth, and you may notice a tender, painful bump.

3. Bad Taste or Odor

A tooth abscess can cause a bad taste in your mouth or bad breath due to the pus draining from the infected area.

4. Fever and General Discomfort

In some cases, the infection may cause fever, fatigue, or swollen lymph nodes, indicating that the infection is spreading beyond the tooth.

If you notice any of these symptoms, it’s essential to visit an emergency dentist in North Salt Lake as soon as possible. Quick treatment can prevent the infection from worsening and causing further damage to your teeth and gums.

What Causes a Tooth Abscess?

Several factors cause the development of a tooth abscess:

  • Untreated Cavities: Cavities that are not addressed in time allow bacteria to reach the tooth pulp, leading to infection.
  • Gum Disease: Advanced gum disease can create pockets of infection in the gums, which may lead to an abscess.
  • Dental Trauma: Cracks or fractures in a tooth can provide a pathway for bacteria to enter, resulting in an infection.
  • Poor Oral Hygiene: poor brushing and flossing encourages the piling of plaque and bacteria, leading to higher risks for cavities and infections.

Treatment Options for a Tooth Abscess

To relieve pressure and drain pus, a dentist might need to make a small cut in the abscess. This step often happens alongside other treatments to stop the infection from coming back.

2. Root Canal Therapy

In order to remove the infected pulp and preserve the tooth, root canal therapy can be required if the abscess is situated near the tooth’s root. To stop more issues, the dentist will clean the inside of the tooth, get rid of the infection, and seal it.

3. Tooth Extraction

If the tooth is severely damaged and cannot be saved, the dentist may recommend extracting it to prevent the infection from spreading further.

4. Antibiotics

In cases where the infection has progressed beyond the tooth, antibiotics may be recommended to help clear the infection and limit the risk of consequences.

Preventing a Tooth Abscess

Maintaining appropriate dental hygiene habits, such as brushing and flossing twice a day and scheduling routine cleanings and checkups with your dentist, is the best defense against tooth abscesses. Addressing cavities, gum disease, and other dental issues early can help prevent them from progressing into more serious conditions like abscesses.

Don’t delay if you have swelling, tooth discomfort, or any other indications of an abscess. Contact North Salt Lake Dental, your trusted emergency dentist, to get the timely care you need. You can preserve your general health and save your teeth with early management.